
Фудбалски ударци главом о лопту повређују мождано ткиво, показало је истраживање

Да чак и најобичнији, али чести ударци главом у лопту (или обрнуто) могу оставити последице по здравље открили су научници Универзитета Колумбија, који су прегледали снимке магнетне резонанце 352 фудбалера-аматера.
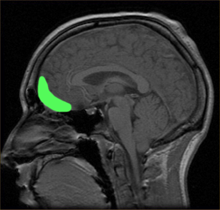
Испоставило се да је код оних који су годишње 1000 или више пута урадили главом лопту постоје промене у кортикалном интерфејсу сиве и беле масе у орбитофронталној регији мозга, која се налази тик иза очију.
Ударци главом у лопту изазивају видљиве промене на мозгу, али и у памћењу
Код фудбалера-аматера граница међу сивом и белом масом била је мање приметна, а са повећањем броја удараца главом неестајала је све више и више, преноси научни магазин Сајенс Алерт.
Како наводе истраживачи, ове промене настају као последица противударне силе, при чему се повреде групишу на супротној страни од тачке удара, што подсећа на механизам који делује и када долази до потреса мозга.

Оно што ја научнике нарочито забринуло јесте и чињеница да су добровољци са видљивим променама на мозгу демонстрирали и нешто слабије резултате на тестовима памћења и учења, и то независно од пола или узраста.
Сви контактни спортови су ризични, чак и уколико се њима бавите само рекреативно
"Код здравих људи прелаз између ткива сиве и беле мождане масе је јасан и веома лако уочљив на снимцима магнетне резонанце", појаснила је научница Џоан Сонг, која је учествовала у анализи снимака магнетне резонанце.
Међутим, нису само фудбалери у зони ризика: спортисти који се баве контактним спортовима, у којима су повреде главе честе и репетитивне, такође могу имати негативне последице здравље, услед повремених удараца.
И притом није нужно да су то спортисти професионалци који се годинама или деценијама излажу ударцима главе - студија недвосмислено показује и да чак и рекреативци лако могу да добију повреде можданог ткива.


